CHAMPAIGN, Ill. — A naturally occurring protein that tends to be expressed at higher levels in breast cancer cells boosts the effectiveness of some anticancer agents, including doxorubicin, one of the most widely used chemotherapies, and a…
Blog
-

Study reveals long-term struggles after Stevens-Johnson syndrome and toxic epidermal necrolysis
Stevens-Johnson syndrome (SJS) and toxic epidermal necrolysis (TEN) survivors encounter rare, life-threatening drug reactions and years of physical, emotional and social consequences long after leaving the hospital, according to a…
Continue Reading
-

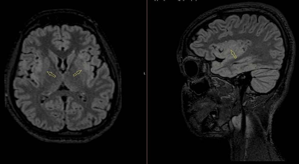
Income and social disparities found to influence dementia risk factors
People with lower incomes and people from racial and ethnic historically underrepresented groups in clinical studies are more likely to have modifiable risk factors for dementia, factors that could be changed to lower their risk,…
Continue Reading
-

FX Cancels ‘English Teacher’ After 2 Seasons
English Teacher will be ending after two seasons.
FX has decided not to renew the sitcom, created by Brian Jordan Alvarez, who also stars in the show, The Hollywood Reporter has learned.
English Teacher, set in Austin, follows gay…
Continue Reading
-

Stanford scientists discover unexpected cancer resistance in aged mice
Old laboratory mice develop substantially fewer and less-aggressive lung tumors than younger animals in a new study led by Stanford University researchers. The discovery flies in the face of established dogma that holds that cancer…
Continue Reading
-

Stock market today: Live updates
Traders work on the floor of the New York Stock Exchange.
NYSE
Stock futures came slightly under pressure Wednesday night after a continued market rotation powered the Dow Jones Industrial Average to fresh highs.
Futures tied to the Dow Jones Industrial Average lost 26 points, or nearly 0.1%. The S&P futures shed 0.2%, while Nasdaq 100 futures declined about 0.3%.
Wednesday again saw a divergence between technology stocks and other pockets of the market as value-oriented sectors such as health care outperformed. The rotation has been a relief for some investors looking for a broadening out of the market, but it could also signal growing caution away from risk-on assets.
The Dow on Wednesday hit its first record close above 48,000, putting the 30-stock index on pace for its best weekly performance since late June. The S&P 500 settled up slightly above the flatline to post four straight days of gains, meanwhile, and the tech-heavy Nasdaq Composite closed the day in the red.
“We have rebounded in dramatic fashion from the April lows,” said Eric Teal, chief investment officer at Comerica Wealth Management. “Most importantly, the market is broadening out beyond just growth and technology, including industrials, financials, and healthcare. Small-cap stocks are also participating in the rally as lower short-term interest rates have been a harbinger for small-cap outperformance.”
Investors had been optimistic that the U.S. government shutdown — the longest in history — would end after lasting six weeks. The House of Representatives approved a short-term funding bill, by a vote of 222-209, ending the current impasse until at least the end of January. President Donald Trump has said he would sign it.
The extended stoppage caused investors to fly blind without key economic reports, such as the October jobs report and inflation data, and contributed to the market’s recent choppiness. White House press secretary Karoline Leavitt told reporters on Wednesday that these reports may ultimately never be released, and that the shutdown could lower fourth-quarter economic growth by up to 2 percentage points. Most economists expect minimal impact to U.S. GDP, however.
Continue Reading
-

Can Europe Keep Up in the Global AI Race?
Kathryn Huberty: Welcome to Thoughts on the Market. I’m Katy Huberty, Morgan Stanley’s Global Head of Research, and I’m joined by Stephen Byrd, Global Head of Thematic Research, and Jeff McMillan, Morgan Stanley’s Head of Firm-Wide AI.
Today and tomorrow, we have a special two-part episode on the number one question everyone is asking us: What does the future of work look like as we scale AI?
It’s Tuesday, November 4th at 10am in New York.
I wanted to talk to you both because Stephen, your groundbreaking work provides a foundation for thinking through labor and economic impacts of implementing AI across industries. And Jeff, you’re leading Morgan Stanley’s efforts to implement AI across our more than 80,000 employee firm, requiring critical change management to unlock the full value of this technology.
Let’s start big picture and look at this from the industry level, and then tomorrow we’ll dig into how AI is changing the nature of work for individuals.
Stephen, one of the big questions in the news – and from investors – is the size of AI adoption opportunity in terms of earnings potential for S&P 500 companies and the economy as a whole. What’s the headline takeaway from your analysis?
Stephen Byrd: Yeah, this is the most popular topic with my children when we talk about the work that I do. And the impacts are so broad. So, let’s start with the headline numbers. We did a deep dive into the S&P 500 in terms of AI adoption benefits. The net benefits based on where the technology is now, would be about little over $900 billion. And that can translate to well over 20 percent increased earnings power that could generate over $13 trillion of market cap upon adoption. And importantly, that’s where the technology is now.
So, what’s so interesting to me is the technology is evolving very, very quickly. We’ve been writing a lot about the nonlinear rate of improvement of AI. And what’s especially exciting right now is a number of the American labs, the well-known companies developing these LLMs, are now gathering about 10 times the computational power to train their next model. If scaling laws hold that would result in models that are about twice as capable as they are today. So, I think 2026 is going to be a year in terms of thinking about where we’re headed in terms of adoption. So, it’s frankly challenging to basically take a snapshot because the picture is moving so quickly.
Kathryn Huberty: Stephen, you referenced just the fast pace of change and the daily news flow. What’s the view of the timeline here? Are we measuring progress at the industry level in months, in years?
Stephen Byrd: It’s definitely in years. It’s fast and slow. Slow in the sense that, you know, it’s taken some companies a little while now and some over a year to really prepare. But now what we’re seeing in our CIO survey is many companies are now moving into the first, I’d say, full fledged adoption of AI, when you can start to really see this in numbers.
So, it sort of starts with a trickle, but then in 2026, it really turns into something much, much bigger. And then I go back to this point about non-linear improvement. So, what looks like, areas where AI cannot perform a task six months from now will look very different. And I think – I’m a former lawyer myself. In the field of law, for example, this has changed so quickly as to what, AI can actually do. So, what I expect is it starts slow and then suddenly we look at a wide variety of tasks and AI is fairly suddenly able to do a lot more than we expect.
Kathryn Huberty: Which industries are likely to be most impacted by the shift? And when you broke down the analysis to the industry and job level, what were some of the surprises?
Stephen Byrd: I thought what we would see would be fairly high-tech oriented sectors – and including our own – would be top of the list. What I found was very different. So, think instead of sectors where there’s fairly low profit per employee, often low margin businesses, very labor-intensive businesses. A number of areas in healthcare staples came to the top. A few real [00:04:00] estate management businesses. So, very different than I expected.
The very high-tech sectors actually had some of the lowest numbers, simply because those companies in high-tech tend to have extremely high profit per employee. So, the impact is a lot less. So that was surprising learning. A lot of clients have been digging into that.
Kathryn Huberty: I could see why that would’ve surprised you. But let’s focus on banking for a moment since we have the expert here. Jeff, what are some of the most exciting AI use cases in banking right now?
Jeff McMillan: You know, I would start with software development, which was probably the first Gen AI use case out of the gate. And not only was it first, but it continues to be the most rapidly advancing. And that’s probably, mostly a function of the software, you know, development community. I mean, these are developers that are constantly fiddling and making the technology better.
But productivity continues to advance at a linear pace. You know, we have over 20,000 folks here at Morgan Stanley. That’s 25 percent of our population. We have more people building software than we have financial advisors. And, you know, the impact both in terms of the size of that population and the efficiencies are really, really significant.
So, I would start there. And then, you know, once you start moving past that, it may not seem, you know, sexy. It’s really powerful around things like document processing. Financial services firms move massive amounts of paper. We take paper in, whether it be an account opening, whether it be a contract. Somebody reads that information, they reason about it, and then they type that information into a system. AI is really purpose built for that.
And then finally, just document generation. I mean, the number of presentations, portfolio reviews, you know, even in your world, Katy, research reports that we create. Once again, AI is really just – it’s right down the middle in terms of its ability to generate just content and help people reduce the time and effort to do that.
Kathryn Huberty: There’s a lot of excitement around AI, but as Stephen mentioned, it’s not a linear path. What are the biggest challenges, Jeff, to AI adoption for a big global enterprise like Morgan Stanley? What keeps you up at night?
Jeff McMillan: I’ve often made the analogy that we own a Ferrari and we’re driving around circles in a parking lot. And what I mean by that is that the technology has so far advanced beyond our own capacity to leverage it. And the biggest issue is – it’s our own capacity and awareness and education.
So, you know what keeps me up at night? it’s the firm’s understanding. It’s each person’s and each leader’s ability to understand what this technology can do. Candidly, it’s the basics of prompting. We spend a lot of time here at the firm just teaching people how to prompt, understanding how to speak to the machine because until you know how to do that, you don’t really understand the art of the possible. I tell people, if you have $100 to spend, you should start spending [$]90, on educating your employee base. Because until you do that, you cannot effectively get the best out of the technology.
Kathryn Huberty: And as we look out to 2026, what AI trends are you watching closely and how are we preparing the firm to take advantage of that?
Jeff McMillan: You and I were just out in Silicon Valley a couple of weeks ago, and seemingly overnight, every firm has become an agentic one. While much of that is aspirational, I think it’s actually going to be, in the long term, a true narrative, right?
We’ve already built several agents ourselves. And what I would describe them as true agents – ones that actually are able to plan and act and reason on their own and execute tasks, multi-threaded. With humans still in the loop but are able to do more than just respond to a question. And we’re starting to scale. And I think that step where we are right now is really about experimentation, right? I think we have to learn which tools work, what new governance processes we need to put in place, where the lines are drawn. I think we’re still in the early stage, but we’re leaning in really hard.
We’ve got about 20 use cases that we’re experimenting with right now. As things settle down and the vendor landscape really starts to pan out, we’ll be down position to fully take advantage of that.
Kathryn Huberty: A key element of the agentic solutions is linking to the data, the tools, the application that we use every day in our workflow. And that ecosystem is developing, and it feels that we’re now on the cusp of those agentic workflow applications taking hold.
Stephen Byrd: So, Katy, I want to jump in here and ask you a question too. With your own background as an IT hardware analyst, how does the AI era compare to past tech or computing cycles? And what sort of lessons from those cycles shape your view of the opportunities and challenges ahead?
Kathryn Huberty: The other big question in the market right now is whether an AI bubble is forming. You hear that in the press. It’s one of the questions all three of us are hearing regularly from clients. And implicit in that question is a view that this doesn’t look like past cycles, past trends. And I just don’t believe that to be the case.
We actually see the development of AI following a very similar path. If you go back to mainframe and then minicomputer, the PC, internet, mobile, cloud, and now AI. Each compute cycle is roughly 10 times larger in terms of the amount of installed compute.
The reality is we’ve gone from millions to billions to trillions, and so it feels very different. But the reality is we have a trillion dollars of installed CPU compute, and that means we likely need $10 trillion of installed GPU compute. And so, we are following the same pattern. Yes, the numbers are bigger because we keep 10x-ing, but the pattern is the same. And so again, that tells us we’re in the early innings. You know, we’re still at the point of the semiconductor technology shipping out into infrastructure. The applications will come.
The other pattern from past cycles is that exponential growth is really difficult for humans to model. So, I think back to the early days when Morgan Stanley’s technology team was really bullish, laying the groundwork for the PC era, the internet era, the mobile era. When we go back and look at our forecasts, we always underestimated the potential. And so that would suggest that what we’ve seen with the upward earnings revisions for the AI enablers and soon the AI adopters is likely to continue.
And so, I see many patterns, you know, that are thread across computing cycles, and I would just encourage investors to realize that AI so far is following similar patterns.
Jeff McMillan: Katy, you make the point that much of the playbook is the same. But is there anything fundamentally different about the AI cycle that investors should be thinking about?
Kathryn Huberty: The breadth of impact to industries and corporates, which speaks to Stephen’s work. We have now four times over mapped the 3,700 companies globally that Morgan Stanley research covers to understand their role in this theme.
Are they enabling AI? Are they adopting? Are they disrupted by it? How important is it to the thesis? Do they have pricing power? It’s very valuable data to go and capture the alpha. But I was looking at that dataset recently and a third of those nearly 4,000 companies we cover, our analysts are saying that AI has an impact on the investment thesis. A third. And yet we’re still in the early innings. And so, what may be different, and make the impact much bigger and broader is just the sheer number of corporations that will be impacted by the theme.
Let’s pause here and pick up tomorrow with more on workforce transformation and the impact on individual workers.
Thank you to our listeners. Please join us tomorrow for part two of our conversation. If you enjoy the show, please leave us a review wherever you listen and share Thoughts on the Market with a friend or colleague today.
Continue Reading
-

Extended use of anti-clotting drugs reduces risk of recurrent blood clots
Extending anti-clotting drugs beyond the initial treatment period of at least 90 days after a first blood clot is linked to lower rates of new clots developing compared with stopping treatment, finds a US study published by The…
Continue Reading

