Blog

  • Just a moment…

    Just a moment…

    Continue Reading

  • Nokia extends long-term partnership with VNPT in Vietnam

    Nokia extends long-term partnership with VNPT in Vietnam

    At Nokia, we create technology that helps the world act together.

    As a B2B technology innovation leader, we are pioneering networks that sense, think and act by leveraging our work across mobile, fixed and cloud networks. In addition, we create value with intellectual property and long-term research, led by the award-winning Nokia Bell Labs, which is celebrating 100 years of innovation.

    With truly open architectures that seamlessly integrate into any ecosystem, our high-performance networks create new opportunities for monetization and scale. Service providers, enterprises and partners worldwide trust Nokia to deliver secure, reliable and sustainable networks today – and work with us to create the digital services and applications of the future

    ';

    Continue Reading

  • Systemic Health Associations of Apical Periodontitis: A Systematic Review of Observational Studies

    Systemic Health Associations of Apical Periodontitis: A Systematic Review of Observational Studies

    Continue Reading

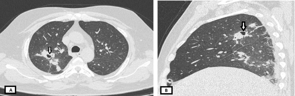
  • Pulmonary Melioidosis Masquerading As Tuberculosis: A Case Report Presenting a Rare Medical Condition From Western India

    Pulmonary Melioidosis Masquerading As Tuberculosis: A Case Report Presenting a Rare Medical Condition From Western India

    Continue Reading

  • Stephen Curry Scores 42 Points, Willing Warriors to Overtime Win in Thrilling Home Opener – NBA

    Stephen Curry Scores 42 Points, Willing Warriors to Overtime Win in Thrilling Home Opener – NBA

    1. Stephen Curry Scores 42 Points, Willing Warriors to Overtime Win in Thrilling Home Opener  NBA
    2. Nuggets-Warriors Instant Reaction: Nuggets Waste Gordon’s Masterpiece by the Bay – DNVR  beritasriwijaya.co.id
    3. Game 2 wrap: Aaron Gordon goes wild to…

    Continue Reading

  • Scientists develop incredible material that could help unlock futuristic power source: ‘Promising’

    Scientists develop incredible material that could help unlock futuristic power source: ‘Promising’

    Researchers at Niigata University in Japan have developed a transparent film that’s an exceptionally efficient and stable photoanode, which could aid in advancing solar-driven water splitting to create hydrogen.

    A report shared by TechXplore…

    Continue Reading

  • Should drug companies be allowed to run ‘awareness’ ads for conditions their drugs treat? We asked 5 experts

    Should drug companies be allowed to run ‘awareness’ ads for conditions their drugs treat? We asked 5 experts

    Unlike in the United States and New Zealand, it’s illegal in Australia to advertise prescription medicines directly to the public.

    The main idea is to avoid demand for a drug that may not be appropriate, but which doctors may feel under pressure to prescribe.

    But drug companies can get around this restriction by running “awareness” ads that indirectly promote their products.

    For instance, we’re currently seeing ads raising awareness about weight loss that don’t mention the names of specific Ozempic-style drugs. Instead, these ads recommend you speak to your doctor about your weight.

    The main argument for such awareness ads is they encourage people to seek help from their doctor, rather than suffer from symptoms they might have been embarrassed about, or have not been able to address themselves.

    For instance, Novo Nordisk and Eli Lilly – which make weight-loss drugs – told the ABC recently their campaigns were trying to raise awareness of obesity as a chronic disease.

    The main counterargument is that awareness ads act as drug promotion in disguise.

    So, should pharmaceutical companies be allowed to run awareness ads for diseases or conditions their drugs treat?

    We asked five experts. Four out of five said no. Here are their detailed answers.

    Continue Reading

  • Busway through Cambridge orchard will destroy trees, says owner

    Busway through Cambridge orchard will destroy trees, says owner

    The owner of a historical orchard said its apple trees will not survive being dug up and moved to make way for a proposed busway.

    Coton Orchard lies in the path of the proposed £200m Cambourne to Cambridge (C2C) guided busway.

    Planners hoped that linking the town and city will ease congestion on local roads and 10,000 trips will be made each day on the new route.

    However, Anna Gazeley, whose family owns the Coton Orchard, told an ongoing public inquiry into the proposals that 12 of the oldest Bramley apple trees on the site were “fragile”, vital to the area’s ecosystem and would not survive the move.

    The C2C Busway project has been put together by the Greater Cambridge Partnership (GCP) on behalf of Cambridgeshire County Council.

    If it goes ahead it will see a new busway built from Cambourne to Cambridge, via the Bourn Airfield development, Hardwick, Coton, and the West Cambridge Site.

    A pathway alongside the busway is also proposed for pedestrians and cyclists. A travel hub is also planned at Scotland Farm.

    The proposed route would run through Coton Orchard, which is a century-old 60-acre site.

    Ms Gazeley told the inquiry on Wednesday that her father bought the orchard in 1996 after he had seen other orchards he knew from his childhood disappear.

    She told inspectors about the ecological importance of the orchard, and shared fears about the impact the development would have on its “fragile” trees.

    It was “one of the largest remaining traditional orchards in Cambridgeshire” and had been designated a priority habitat under the UK Biodiversity Action Plan and a county wildlife site, she said.

    “This is a habitat with ecological memory – more than 100 botanical species have been recorded in its understory, such as mosses, liverworts, fungi… confirming as ecological evidence has shown that this site has matured far beyond commercial cultivation,” she added.

    She said the trees were “fragile” and argued they would not survive the move.

    “The applicant now accepts the veteran status of those founding Bramleys, yet still asserts that no loss or deterioration would result from the scheme,” she said.

    One of the legal representatives of the Cambridgeshire County Council challenged Ms Gazeley on her evidence and questioned its credibility.

    They highlighted an example in her written submission of a reference she made to an article about the impact of moving trees, which they said did not actually exist.

    They said: “You referred to a reference that does not exist. It has been made up and hallucinated by AI.”

    Ms Gazeley said she had used AI to help create her submission and accepted it may not be a perfect document.

    However, she said there were other references made and advice taken from experts about the impact of moving the trees.

    She said: “Those trees, they are hollow, they are fragile, the features that make them veteran trees is what makes them structurally very poor.

    “The thought that you can sever the roots, pull them up, drag them the length of the orchard to put them in a hole and expect them to survive with no deterioration defies credibility.”

    At the conclusion of the inquiry, which is taking place in Cambourne and expected to last until November, inspectors will make recommendations to the government about the scheme.

    Continue Reading

  • Rethinking the Art World | Alvaro Barrington Is a True 21st-Century Artist

    Rethinking the Art World | Alvaro Barrington Is a True 21st-Century Artist

    LONDON — When the artist Alvaro Barrington was coming up in New York’s 90s hip-hop scene, he and his friends obsessed over top five lists: “In the neighbourhood, all anybody talked about was, ‘Who’s the top five rappers? Who’s the top…

    Continue Reading

  • Rhizosphere metabolites influence the spread of antibiotic resistance genes in soil-plant systems

    Rhizosphere metabolites influence the spread of antibiotic resistance genes in soil-plant systems

    Their study reveals that rhizosphere metabolites—substances secreted by plant roots—play a crucial role in regulating the distribution of manure-derived ARGs in both the soil and plant tissues. By investigating…

    Continue Reading