Blog

  • Head Trauma in Pycnodysostosis: An Imagiological Challenge

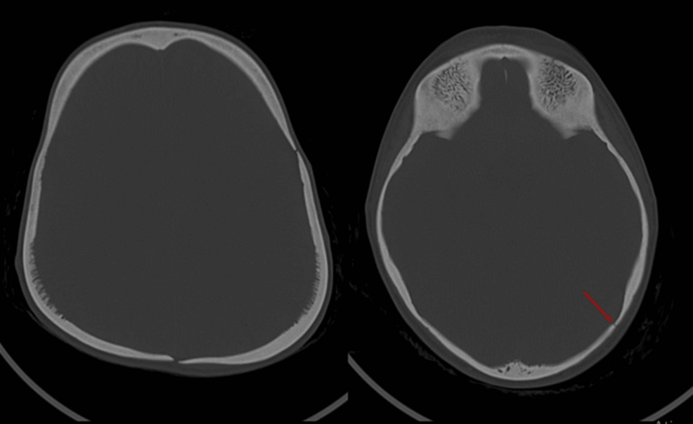
    Head Trauma in Pycnodysostosis: An Imagiological Challenge

    Continue Reading

  • Save 60% Off the Harman Kardon Go + Player 3 Portable Speaker with Built-in 5″ Subwoofer

    Save 60% Off the Harman Kardon Go + Player 3 Portable Speaker with Built-in 5″ Subwoofer

    Harman direct just dropped the price on one of its highest end portable speakers. Add the Harman Kardon Go + Play 3 to your shopping cart and the price ends up being just $159.99 shipped after a massive 60% off instant discount.

    Harman Kardon Go +…

    Continue Reading

  • Wind power has saved UK consumers over £100 billion since 2010 – new study

    Wind power has saved UK consumers over £100 billion since 2010 – new study

    Renewable energy is often pitched as cheaper to produce than fossil fuel energy. To quantify whether this is true, we have been studying the financial impact of expanding wind energy in the UK. Our results are surprising.

    From 2010 to 2023, wind power delivered a benefit of £147.5 billion — £14.2 billion from lower electricity prices and £133.3 billion from reduced natural gas prices. If we offset the £43.2 billion in wind energy subsidies, UK consumers saved £104.3 billion compared with what their energy bills would have been without investment in wind generation.

    UK wind energy production has transformed over the past 15 years. In 2010, more than 75% of electricity was generated from fossil fuels. By 2025, coal has ceased and wind is the largest source of power at 30% – more than natural gas at 26%.

    This massive expansion of UK offshore wind is partly due to UK government subsidies. The Contracts for Difference scheme provides a guaranteed price for electricity generated, so when the price drops below this level, electricity producers still get the same amount of money.

    The expansion is also partly due to how well UK conditions suit offshore wind. The North Sea provides both ample winds and relatively shallow waters that make installation more accessible.




    Read more:
    How a more flexible energy grid can cope better with swings in Britain’s weather


    The positive contribution of wind power to reducing the UK’s carbon footprint is well known. According to Christopher Vogel, a professor of engineering who specialises in offshore renewables at the University of Oxford, wind turbines in the UK recoup the energy used in their manufacture, transport and installation within 12-to-24 months, and they can generate electricity for 20-to-25 years. The financial benefits of wind power have largely been overlooked though, until now.

    Our study explores the economics of wind in the energy system. We take a long-term modelling approach and consider what would happen if the UK had continued to invest in gas instead of wind generation. In this scenario, the result is a significant increased demand for gas and therefore higher prices. Unlike previous short-term modelling studies, this approach highlights the longer-term financial benefit that wind has delivered to the UK consumer.

    The authors’ new study quantifies the financial benefit of wind v fossil fuels to consumers.
    Igor Hotinsky/Shutterstock

    Central to this study is the assumption that without the additional wind energy, the UK would have needed new gas capacity. This alternative scenario of gas rather than wind generation in Europe implies an annual, ongoing increase in UK demand for gas larger than the reduction in Russian pipeline gas that caused the energy crisis of 2022.

    Given the significant increase in the cost of natural gas, we calculate the UK would have paid an extra £133.3 billion for energy between 2010 and 2023.

    There was also a direct financial benefit from wind generation in lower electricity prices – about £14.2 billion. This combined saving is far larger than the total wind subsidies in that period of £43.2 billion, amounting to a net benefit to UK consumers of £104.3 billion.

    Wind power is a public good

    Wind generators reduce market prices, creating value for others while limiting their own profitability. This is the mirror image of industries with negative environmental consequences, such as tobacco and sugar, where the industry does not pay for the increased associated healthcare costs.

    This means that the profitability of wind generators is a flawed measure of the financial value of the sector to the UK. The payments via the UK government are not subsidies creating an industry with excess profits, or one creating a financial drain. They are investments facilitating cheaper energy for UK consumers.

    Wind power should be viewed as a public good — like roads or schools — where government support leads to national gains. The current funding model makes electricity users bear the cost while gas users benefit. This huge subsidy to gas consumers raises fairness concerns.

    Wind investment has significantly lowered fossil fuel prices, underscoring the need for a strategic, equitable energy policy that aligns with long-term national interests. Reframing UK government support as a high-return national investment rather than a subsidy would be more accurate and effective.

    Sustainability, security and affordability do not need to be in conflict. Wind energy is essential for energy security and climate goals – plus it makes over £100 billion of financial sense.


    Imagine weekly climate newsletter

    Don’t have time to read about climate change as much as you’d like?

    Get a weekly roundup in your inbox instead. Every Wednesday, The Conversation’s environment editor writes Imagine, a short email that goes a little deeper into just one climate issue. Join the 45,000+ readers who’ve subscribed so far.


    Continue Reading

  • Afghanistan, Pakistan make progress in Istanbul talks

    Afghanistan, Pakistan make progress in Istanbul talks



    ANI |
    Updated:
    Oct 28, 2025 05:40 IST

    Istanbul [Turkey],…

    Continue Reading

  • Alan Turing AI boss denies toxic culture accusations

    Alan Turing AI boss denies toxic culture accusations

    The Alan Turing Institute Chair has told the BBC there is “no substance” to a number of serious accusations which rocked the organisation in the summer.

    In August, whistleblowers accused the charity’s leadership of misusing public funds,…

    Continue Reading

  • Scientists uncover the gut’s hidden hydrogen engine and how it falters in Crohn’s disease

    Scientists uncover the gut’s hidden hydrogen engine and how it falters in Crohn’s disease

    A global research team has pinpointed the enzyme fueling hydrogen production in healthy guts and shown how its depletion rewires microbial energy networks in Crohn’s disease, reshaping our understanding of gut metabolism.

    Study:

    Continue Reading

  • Elon Musk Challenges Wikipedia With His Own A.I. Encyclopedia – The New York Times

    1. Elon Musk Challenges Wikipedia With His Own A.I. Encyclopedia  The New York Times
    2. Elon Musk briefly launches a Wikipedia rival that extols his own ‘vision’  The Washington Post
    3. GROKIPEDIA V0.1 GOES LIVE WITH ELON FRONT AND CENTER Grokipe­dia v0.1 is here and it looks stunning. The dark interface feels clean, sharp, and built for speed. It already hosts 885,279 articles with full search, references, and edit history options, no  X
    4. Elon Musk’s Grokipedia postponed to weed out propaganda  Cybernews
    5. Elon Musk launched an early version of Grokipedia, an online encyclopedia written by AI that the billionaire is touting as a less biased alternative to Wikipedia. When it first went live, it appeared significantly smaller, more opaque in its workings — and more rig  Facebook

    Continue Reading

  • Shrinkflation hits everyday staples, piling more pressure on households | Supermarkets

    Shrinkflation hits everyday staples, piling more pressure on households | Supermarkets

    Toothpaste, coffee and even heartburn medicine are among the latest products quietly shrinking in size while shoppers pay the same price, piling more pressure on household grocery budgets.

    Consumer watchdog Which? found a range of new examples of shrinkflation as brands cut back on quantity and quality in an effort to reduce their own costs.

    One of the worst instances was Aquafresh complete care original toothpaste, which went from £1.30 for 100ml to £2 for 75ml at Tesco, Sainsbury’s and Ocado – a 105% increase per 100ml.

    Haleon Great Britain and Ireland, which owns the Aquafresh brand, told the Guardian: “We understand that people across the UK are facing pressure on their finances. Prices go up and down for a variety of reasons, and we always work hard for people to receive the highest quality products at the lowest price so that the whole family can take care of their teeth.”

    Gaviscon heartburn and indigestion liquid shrank from 600ml to 500ml, with Sainsbury’s keeping the price at £14 – equivalent to a 20% increase per 100ml. They did not respond to a request for comment.

    Nescafé original instant coffee was cut from 200g to 190g at Tesco, Morrisons and Asda – about a 5% rise per 100g. A Nestlé spokesperson said: “Like every manufacturer, we have seen significant increases in the cost of coffee, making it much more expensive to manufacture our products … Retail pricing is always at the discretion of individual retailers.”

    Chocolate has also been hit by rising cocoa prices, with Quality Street tubs reduced from 600g to 550g and prices at Morrisons increasing from £6 to £7 – a 27% rise per 100g. Club and Penguin biscuits, both made by McVitie’s, can no longer be described as chocolate biscuits, as they now contain more palm oil and shea oil than cocoa, a change first reported by trade journal The Grocer.

    Which? said any changes, whether to product size or recipe, should be made clear so that shoppers can make informed choices.

    Reena Sewraz, retail editor at the watchdog, said: “Households are already under immense financial pressure with food bills inching up and the expense of Christmas looming on the horizon … Supermarkets must be more upfront about their prices so that it’s easy to see what the best value is.

    “This includes ensuring that their unit pricing is prominent, legible and consistent in-store and online to help customers easily compare costs across different brands and sizes of packaging; that way shoppers can be more confident they’re getting the best value.”

    Hopes that the pressure on households may be easing came from news that UK shop price inflation fell to 1% in October from 1.4% in September, according to the British Retail Consortium, helped by a drop in sugar prices and early Black Friday discounts on electrical and beauty goods.

    The drop was led by packaged and tinned foods, where inflation eased to 2.9% in October from 4.2% the previous month. Non-food prices fell by 0.4%, compared to the previous month’s 0.1% decrease, according to the latest shop price monitor from the BRC and research firm NIQ. These shifts offset a rise in fresh food inflation, which increased to 4.3% from 4.1% as prices for beef, poultry and fruit climbed in response to higher domestic production costs.

    Helen Dickinson, the chief executive of the BRC, said: “Overall shop price inflation slowed in October, driven by fierce competition among retailers and widespread discounting. While food inflation remains high, especially for fresh food where prices continued to rise, it eased for ambient goods.

    “Easing global sugar prices helped to bring down prices of chocolate and confectionery, a treat for those preparing Halloween parties. Beyond food, discounts came early to electricals and health and beauty, as retailers started promotions ahead of Black Friday month.”

    Continue Reading

  • Picture of health: going to art galleries can improve wellbeing, study reveals | Health

    Picture of health: going to art galleries can improve wellbeing, study reveals | Health

    Enjoying original works of art in a gallery can relieve stress, reduce the risk of heart disease and boost your immune system, according to the first study of its kind.

    Researchers measured the physiological responses of participants while viewing…

    Continue Reading

  • Coronal Mass Ejections At Dawn Of Solar System

    Coronal Mass Ejections At Dawn Of Solar System

    Kyoto, Japan — Down here on Earth we don’t usually notice, but the Sun is frequently ejecting huge masses of plasma into space. These are called coronal mass ejections (CMEs). They often occur together with sudden brightenings called…

    Continue Reading