Blog

  • Perioperative Serplulimab Meets Primary End Point of EFS in Gastric Cancer

    Perioperative Serplulimab Meets Primary End Point of EFS in Gastric Cancer

    The phase 3 ASTRUM-006 trial examining serplulimab (Hansizhuang) plus chemotherapy as neoadjuvant/adjuvant monotherapy treatment in patients with gastric cancer met its primary end point of event-free survival (EFS), according to an announcement from Shanghai Henlius Biotech, Inc.1

    Additional data from the interim analysis conducted by an independent data monitoring committee (IDMC) showed that serplulimab plus chemotherapy elicited a pathologic complete response (pCR) rate that was threefold higher than that achieved with placebo plus chemotherapy and also significantly reduced the risk of recurrence. The combination was noted to have an acceptable toxicity profile, with no new safety signals reported.

    Based on these findings, the IDMC has recommended early submission of a new drug application for serplulimab.

    “Surgery is the cornerstone of gastric cancer treatment, and perioperative therapy is critical to long-term survival,” Professor Jiafu Ji, of Beijing Cancer Hospital, stated in a news release. “This study is the first to confirm the feasibility of replacing adjuvant chemotherapy with mono-immunotherapy in the postoperative setting. It not only opens a new path to consolidate surgical outcomes and reduce recurrence risk but also paves the way for innovation in clinical practice.”

    What Data Have Previously Been Reported With Serplulimab in Gastric Cancer?

    Data from a study shared at the 2025 ASCO Annual Meeting indicated that when perioperatively serplulimab was given at a dose of 300 mg on day 1 every 3 weeks (Q3W) combined with chemotherapy comprised of oxaliplatin at 130 mg/m2 on day 1 and S-1 at 60 mg twice daily on days 1 to 14 Q3W for 3 cycles, 5 of 25 patients achieved a pCR; the major pathologic response rate was 40%.2 The median DFS and overall survival (OS) was not reached.

    The treatment-related adverse effects (TRAEs) that were most commonly experienced with the regimen were nausea, anorexia, thrombocytopenia, fatigue, and thyroid dysfunction. No TRAEs were grade 3 or higher in severity. The study authors concluded that the findings supported a place for immune-based neoadjuvant therapy in this setting.

    Is Serplulimab Under Exploration in Other Cancers?

    The randomized, double-blind, phase 3 ASTRUM-005 study (NCT04063163) randomized patients with extensive-stage small cell lung cancer to serplulimab at 4.5 mg/kg on day 1 plus carboplatin at an area under the curve of 5 on day 1 and 100 mg/m2 of etoposide on days 1 to 3 Q3W for up to 4 cycles followed by maintenance serplulimab at 4.5 mg/kg Q3W or placebo plus the same chemotherapy regimen.3

    Data shared during the 2025 ASCO Annual Meeting showed that those who received serplulimab (n = 389) experienced a median OS of 15.8 months (95% CI, 13.9-17.4) compared with 11.1 months (95% CI, 10.0-12.4) with placebo (n = 196), translating to a 40% reduction in the risk of death (HR, 0.60; 95% CI, 0.49-0.73; descriptive P < .001). The OS rates in the respective arms at 4 years were 21.9% (95% CI, 17.6%-26.6%) and 7.2% (95% CI, 3.8%-12.1%). The median progression-free survival with serplulimab was 5.8 months (95% CI, 5.6-6.9) vs 4.3 months (95% CI, 4.2-4.4), translating to a 53% reduction in the risk of disease progression or death (HR, 0.47; 95% CI, 0.38-0.57; descriptive P < .001).

    Serplulimab plus chemotherapy elicited a confirmed objective response rate (ORR) of 68.9% (95% CI, 64.0%-73.5%), with a median duration of response (DOR) of 6.8 months (95% CI, 5.5-7.9). In the placebo arm, the confirmed ORR was 58.7% (95% CI, 51.4%-65.6%) and the median DOR was 4.2 months (95% CI, 3.1-4.2; HR for DOR was 0.45; 95% CI, 0.35-0.58; descriptive P < .001).

    In June 2025, the Medicines and Healthcare Products Regulatory Agency of the United Kingdom approved serplulimab (Hetronifly) for use in adult patients with previously untreated, metastatic ES-SCLC.4 In February 2025, the European Commission cleared serplulimab plus carboplatin and etoposide for frontline use in adult patients with ES-SCLC.5

    Serplulimab plus carboplatin and nab-paclitaxel (Abraxane) is also being evaluated in patients with previously untreated locally advanced or metastatic squamous non–small cell lung cancer. Data from the final analysis of the phase 3 ASTRUM-004 trial (NCT04033354) indicated that the serplulimab combination significantly improved OS vs placebo plus chemotherapy (HR, 0.73; 95% CI, 0.58-0.93; P = .010).6 At the second interim analysis, the PFS benefit provided by serplulimab plus chemotherapy vs the control was maintained (HR, 0.53; 95% CI, 0.42-0.67).

    References

    1. Phase 3 clinical trial of HANSIZHUANG plus chemotherapy meets primary endpoint in neoadjuvant/adjuvant gastric cancer, greenlighting early NDA submission. News release. Shanghai Henlius Biotech, Inc. October 9, 2025. Accessed October 9, 2025. https://www.prnewswire.com/apac/news-releases/phase-3-clinical-trial-of-hansizhuang-plus-chemotherapy-meets-primary-endpoint-in-neoadjuvantadjuvant-gastric-cancer-greenlighting-early-nda-submission-302579744.html
    2. Zhan H, Liu L, Sun W, et al. Neoadjuvant serplulimab in combination with chemotherapy for locally advanced gastric or gastro-esophageal junction cancer. J Clin Oncol. 2025;43(suppl 16):4030. doi:10.1200/JCO.2025.43.16_suppl.4030

    Continue Reading

  • Info Minister Tarar assails PTI-led KP govt for ‘facilitating terrorists, sowing division’ – Dawn

    1. Info Minister Tarar assails PTI-led KP govt for ‘facilitating terrorists, sowing division’  Dawn
    2. The Chief Minister’s Burden  Daily Times
    3. Gandapurs handwritten resignation received, to undergo scrutiny: KP governor  The News International
    4. PTI…

    Continue Reading

  • Info Minister Tarar assails PTI-led KP govt for ‘facilitating terrorists, sowing division’ – Dawn

    1. Info Minister Tarar assails PTI-led KP govt for ‘facilitating terrorists, sowing division’  Dawn
    2. Afridis CMship — a slip between cup and lip  Geo.tv
    3. Numbers in focus ahead of Afridi seeking trust vote  The News International
    4. The Chief…

    Continue Reading

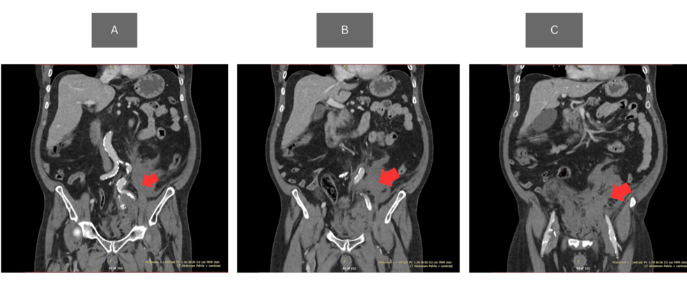
  • Ruptured Internal Iliac Artery Aneurysm Presenting as Syncope and Left-Sided Abdominal Pain: A Rare Cause of Collapse in the Emergency Department

    Ruptured Internal Iliac Artery Aneurysm Presenting as Syncope and Left-Sided Abdominal Pain: A Rare Cause of Collapse in the Emergency Department

    Continue Reading

  • Westfield Health Bulletin: protecting yourself from chikungunya virus

    Westfield Health Bulletin: protecting yourself from chikungunya virus

    When I first heard a news story on the radio about the chikungunya virus, listening phonetically, I’ll admit that my mind went right to chickens and bird virus. Further context in the broadcast proved me wrong. It just goes to show, listening…

    Continue Reading

  • ‘Roofman’ Star Kirsten Dunst Just Wants to Have Fun in Her Movies Again

    ‘Roofman’ Star Kirsten Dunst Just Wants to Have Fun in Her Movies Again

    Have you watched any of the Spider-Man movies you’re not in?

    I have not.

    Are your kids at the point where they wanna watch your Spider-Man movies?

    Not quite, but my four-year-old wanted to watch Venom recently and I was like, sure, why the hell…

    Continue Reading

  • Hollywood-AI battle heats up, as OpenAI and studios clash over copyrights and consent

    Hollywood-AI battle heats up, as OpenAI and studios clash over copyrights and consent

    A year after tech firm OpenAI roiled Hollywood with the release of its Sora AI video tool, Chief Executive Sam Altman was back — with a potentially groundbreaking update.

    Unlike the generic images Sora could initially create, the new program allows users to upload videos of real people and put them into AI-generated environments, complete with sound effects and dialogue.

    In one video, a synthetic Michael Jackson takes a selfie video with an image of “Breaking Bad” star Bryan Cranston. In another, a likeness of SpongeBob SquarePants speaks out from behind the White House’s Oval Office desk.

    “Excited to launch Sora 2!” Altman wrote on social media platform X on Sept. 30. “Video models have come a long way; this is a tremendous research achievement.”

    But the enthusiasm wasn’t shared in Hollywood, where the new AI tools have created a swift backlash. At the core of the dispute is who controls the copyrighted images and likenesses of actors and licensed characters — and how much they should be compensated for their use in AI models.

    The Motion Picture Assn. trade group didn’t mince words.

    “OpenAI needs to take immediate and decisive action to address this issue,” Chairman Charles Rivkin said in a statement Monday. “Well-established copyright law safeguards the rights of creators and applies here.”

    By the end of the week, multiple agencies and unions, including SAG-AFTRA, chimed in with similar statements, marking a rare moment of consensus in Hollywood and putting OpenAI on the defensive.

    “We’re engaging directly with studios and rightsholders, listening to feedback, and learning from how people are using Sora 2,” Varun Shetty, OpenAI’s vice president of media partnerships, said in a statement. “Many are creating original videos and excited about interacting with their favorite characters, which we see as an opportunity for rightsholders to connect with fans and share in that creativity.”

    For now, the skirmish between well-capitalized OpenAI and the major Hollywood studios and agencies appears to be only just the beginning of a bruising legal fight that could shape the future of AI use in the entertainment business.

    “The question is less about if the studios will try to assert themselves, but when and how,” said Anthony Glukhov, senior associate at law firm Ramo, of the clash between Silicon Valley and Hollywood over AI. “They can posture all they want; but at the end of the day, there’s going to be two titans battling it out.”

    Before it became the focus of ire in the creative community, OpenAI quietly tried to make inroads into the film and TV business.

    The company’s executives went on a charm offensive last year. They reached out to key players in the entertainment industry — including Walt Disney Co. — about potential areas for collaboration and trying to assuage concerns about its technology.

    This year, the San Francisco-based AI startup took a more assertive approach.

    Before unveiling Sora 2 to the general public, OpenAI executives had conversations with some studios and talent agencies, putting them on notice that they need to explicitly declare which pieces of intellectual property — including licensed characters — were being opted-out of having their likeness depicted on the AI platform, according to two sources familiar with the matter who were not authorized to comment. Actors would be included in Sora 2 unless they opted out, the people said.

    OpenAI disputes the claim and says that it was always the company’s intent to give actors and other public figures control over how their likeness is used.

    The response was immediate.

    Beverly Hills talent agency WME, which represents stars such as Michael B. Jordan and Oprah Winfrey, told OpenAI its actions were unacceptable, and that all of its clients would be opting out.

    Creative Artists Agency and United Talent Agency also argued that their clients had the right to control and be compensated for their likenesses.

    Studios, including Warner Bros., echoed the point.

    “Decades of enforceable copyright law establishes that content owners do not need to ‘opt out’ to prevent infringing uses of their protected IP,” Warner Bros. Discovery said in a statement. “As technology progresses and platforms advance, the traditional principles of copyright protection do not change.”

    Unions, including SAG-AFTRA — whose members were already alarmed over the recent appearance of a fake, AI-generated composite named Tilly Norwood — also expressed alarm.

    “OpenAI’s decision to honor copyright only through an ‘opt-out’ model threatens the economic foundation of our entire industry and underscores the stakes in the litigation currently working through the courts,” newly elected President Sean Astin and National Executive Director Duncan Crabtree-Ireland said in a statement.

    The dispute underscores a clash of two very different cultures. On one side is the brash, Silicon Valley “move fast and break things” ethos, where asking for forgiveness is seen as preferable to asking for permission. On the other is Hollywood’s eternal wariness over the effect of new technology, and its desire to retain control over increasingly valuable intellectual property rights.

    “The difficulty, as we’ve seen, is balancing the capabilities with the prior rights owned by other people,” said Rob Rosenberg, a partner with law firm Moses and Singer LLP and a former Showtime Networks general counsel. “That’s what was driving the entire entertainment industry bonkers.”

    Amid the outcry, Sam Altman posted on his blog days after the Sora 2 launch that the company would be giving more granular controls to rights holders and is working on a way to compensate them for video generation.

    OpenAI said it has guardrails to block the generation of well-known characters and a team of reviewers who are taking down material that doesn’t follow its updated policy. Rights holders can also request removal of content.

    The strong pushback from the creative community could be a strategy to force OpenAI into entering licensing agreements for the content they need, legal experts said.

    Existing law is clear — a copyright holder has full control over their copyrighted material, said Ray Seilie, entertainment litigator at law firm Kinsella Holley Iser Kump Steinsapir.

    “It’s not your job to go around and tell other people to stop using it,” he said. “If they use it, they use it at their own risk.”

    Disney, Universal and Warner Bros. Discovery have previously sued AI firms MiniMax and Midjourney, accusing them of copyright infringement.

    One challenge is figuring out a way that fairly compensates talent and rights holders. Several people who work within the entertainment industry ecosystem said they don’t believe a flat fee works.

    “Bring monetization that is not a one size fits all,” said Dan Neely, chief executive of Chicago-based Vermillio, which works with Hollywood talent and studios and protects how their likenesses and characters are used in AI. “That’s what will move the needle for talent and studios.”

    Visiting journalist Nilesh Christopher contributed to this report.

    Continue Reading

  • Camilla asks to be character in Peter James crime novel

    Camilla asks to be character in Peter James crime novel

    Getty Images Camilla, Duchess of Cornwall speaks with author Peter James during her visit to the set of ITV's Adaptation Of The Roy Grace Series By Peter James on November 4, 2021 in Brighton, England. Getty Images

    Author Peter James has said Queen Camilla asked if she could be a character in his next novel

    Author Peter James has revealed he was contacted by Queen Camilla to ask if she could be a central character in his upcoming novel.

    James, who…

    Continue Reading

  • ‘littleboy/littleman’ review: An immigrant story as freestyle jazz

    ‘littleboy/littleman’ review: An immigrant story as freestyle jazz

    An immigrant drama by Rudi Goblen about two brothers born in Nicaragua, “littleboy/littleman,” now receiving its world premiere at the Geffen Playhouse, is an American story at its core.

    Lest we forget our past, America is the great…

    Continue Reading

  • Camilla asks to be character in Peter James crime novel – author

    Camilla asks to be character in Peter James crime novel – author

    “She wrote to me and asked when will a novel be set in London”, James said, adding that things had not previously ended well for those who previously ignored Queen’s of England.

    “I was aware that there was chaos in the palace due to renovations,…

    Continue Reading