Blog

  • Nancy Meyers Remembers Diane Keaton ‘Lost a Friend of Almost 40 Years’

    Nancy Meyers Remembers Diane Keaton ‘Lost a Friend of Almost 40 Years’

    Nancy Meyers is looking back at her decades of collaborations with Diane Keaton and noting that the “past 48 hours have not been easy” since the Oscar-winning actress died on Saturday.

    While praising Keaton as a performer, Meyers, who…

    Continue Reading

  • Nvidia’s desktop AI supercomputer now available to the general public

    Nvidia’s desktop AI supercomputer now available to the general public

    Investing.com — Nvidia (NASDAQ:NVDA), the world’s most valuable company and the face of the AI revolution, is bringing its supercomputing power to the desktop.

    The company’s DGX Spark, a pint-sized AI system that TIME Magazine named one…

    Continue Reading

  • Today’s NYT Connections Hints, Answers for Oct. 14 #856

    Today’s NYT Connections Hints, Answers for Oct. 14 #856

    Looking for the most recent Connections answers? Click here for today’s Connections hints, as well as our daily answers and hints for The New York Times Mini Crossword, Wordle, Connections: Sports Edition and Strands puzzles.


    NYT Connections…

    Continue Reading

  • How do asteroids spin in space? The answer could help us prevent a catastrophic Earth impact

    How do asteroids spin in space? The answer could help us prevent a catastrophic Earth impact

    When it comes to saving Earth from a potential doomsday rock, knowing where to hit it and how it spins could make all the difference. Two new studies presented last month at the Europlanet Science Congress in Helsinki may have just given…

    Continue Reading

  • Pete Wicks’ hit dog-umentary back for series two

    Pete Wicks’ hit dog-umentary back for series two

    Reality TV star Pete Wicks said he would die a happy man if he could spend the rest of his life caring for dogs, as he confirmed his dog documentary was back for another season.

    Wicks rose to fame when he appeared on The Only Way Is Essex in 2015,…

    Continue Reading

  • Meghan , Harry return to special spot in NYC with friend Ed Sheeran

    Meghan , Harry return to special spot in NYC with friend Ed Sheeran



    Harry and Sheeran also share a friendly history

    Meghan Markle and Prince Harry believed to…

    Continue Reading

  • Caregiving Takes a Toll on Moms’ Mental & Physical Health — Here’s How To Release The Burden

    Caregiving Takes a Toll on Moms’ Mental & Physical Health — Here’s How To Release The Burden

    It’s no secret that moms shoulder the vast majority of caregiving responsibilities. It’s a pattern so ingrained and accepted that it’s been made the butt of jokes for decades, as women commiserate over their partners’ inability or…

    Continue Reading

  • Google’s Photoshop-killer AI model is coming to search, Photos, and NotebookLM

    Google’s Photoshop-killer AI model is coming to search, Photos, and NotebookLM

    NotebookLM added a video overview feature several months back, which uses AI to generate a video summary of the content you’ve added to the notebook. The addition of Nano Banana to NotebookLM is much less open-ended….

    Continue Reading

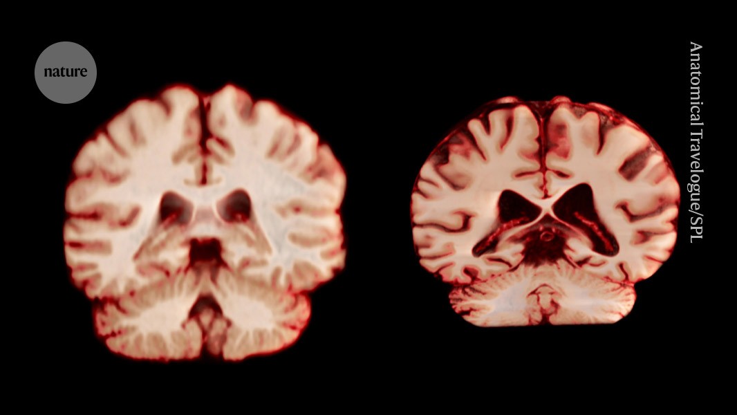
  • what that means for Alzheimer’s

    what that means for Alzheimer’s

    A healthy brain (left) and a brain affected by Alzheimer’s disease. Credit: Anatomical Travelogue/SPL

    During ageing, men experience a greater reduction in volume across more regions of the brain than women do, according to a longitudinal study…

    Continue Reading

  • HEPA purifiers not tied to less viral exposure in elementary classrooms, analysis finds

    HEPA purifiers not tied to less viral exposure in elementary classrooms, analysis finds

    A secondary analysis of a randomized clinical trial of 200 US elementary-school classrooms concludes that portable high-efficiency particulate air (HEPA) purifiers were linked with a modest reduction in respiratory virus diversity but not less viral exposure.

    For the study, published late last week in JAMA Network Open, a Boston Children’s Hospital–led research team examined data from the School Inner-City Asthma Intervention Study, which was conducted from September 2015 to June 2020 in 39 public schools in the Northeast. The goal was to determine whether HEPA filtration reduced asthma symptoms.

    Effectiveness depends on many factors

    The researchers randomly assigned classrooms in a 1:1 ratio to receive either four active HEPA purifiers (109 classrooms) or four identical filterless sham HEPA units (91). The team collected week-long bioaerosol samples three times during the school year and measured levels of 19 respiratory viruses using digital droplet polymerase chain reaction (ddPCR). 

    The primary outcome was high viral exposure (clustering of individual virus concentrations), and secondary outcomes were viral diversity (number of virus types) and individual virus levels. The median class size was 19 students, and the median grade was 3. Only 23.5% of classrooms had central heating, ventilation, and air-conditioning systems. 

    While HEPA purifiers are effective at reducing fine and coarse particulate matter, their effectiveness against viral aerosols and droplets in clinical settings is unclear, because it depends  on factors such as occupancy, ventilation, indoor climate, and occupant-specific characteristics such as age, the researchers said.

    “In addition, while low-cost sensors exist for some indoor pollutants, none exists for detection of viruses,” they wrote. “Some studies propose using carbon dioxide (CO2) as a surrogate marker for viral exposure; however, most research on built-environment factors and viral exposures is model-based, lacking comprehensive epidemiologic evidence.”

    Contribution of low relative humidity

    Viruses were detected in 98.5% of 532 bioaerosol samples (median, 3 viruses per classroom). The most common virus was rhinovirus (89.5% of samples), followed by respiratory syncytial virus (RSV) B (23.9%) and RSV A (12.4%), and influenza A and B (17.7% and 14.3%, respectively). 

    Air purifiers did not reduce overall viral load in classrooms, suggesting that additional interventions may be needed in schools.

    A total of 22.2% of air samples had higher average concentrations of most viruses, including coronavirus and influenza A. The use of HEPA purifiers wasn’t tied to lower odds of high viral exposure (odds ratio [OR], 0.50) but was associated with a 32.8% decrease in viral diversity. But reduced viral diversity wasn’t linked to fewer school absences. 

    Environmental risk factors for viral exposure were low relative humidity, lower grade in school, winter season, and higher levels of coarse particulate matter.

    “We found that air samples from classrooms included in our study had an average of three different respiratory viruses per classroom, with some having as many as 13, including pathogens capable of causing serious disease such as respiratory syncytial virus (RSV) and influenza virus,” corresponding author Peggy Lai, MD, MPH, of Massachusetts General Hospital, said in a Brigham and Women’s Hospital news release

    “Air purifiers did not reduce overall viral load in classrooms, suggesting that additional interventions may be needed in schools,” she added.

    Lai highlighted the association between lower humidity and high viral exposure, which suggests that controlling humidity may help lower exposure to certain viruses.

    “In addition to air filtration or better ventilation, maintaining classroom humidity between 40% and 60% may help lower viral exposures and improve comfort for students and teachers,” she said. “While our study did not find that HEPA air purifiers reduced high viral exposure in classrooms, it’s important to note that the trial was originally designed to measure other outcomes.”

    The authors called for more research into multicomponent environmental interventions such as those targeting higher relative humidity to lower respiratory virus exposure in schools.

    Continue Reading