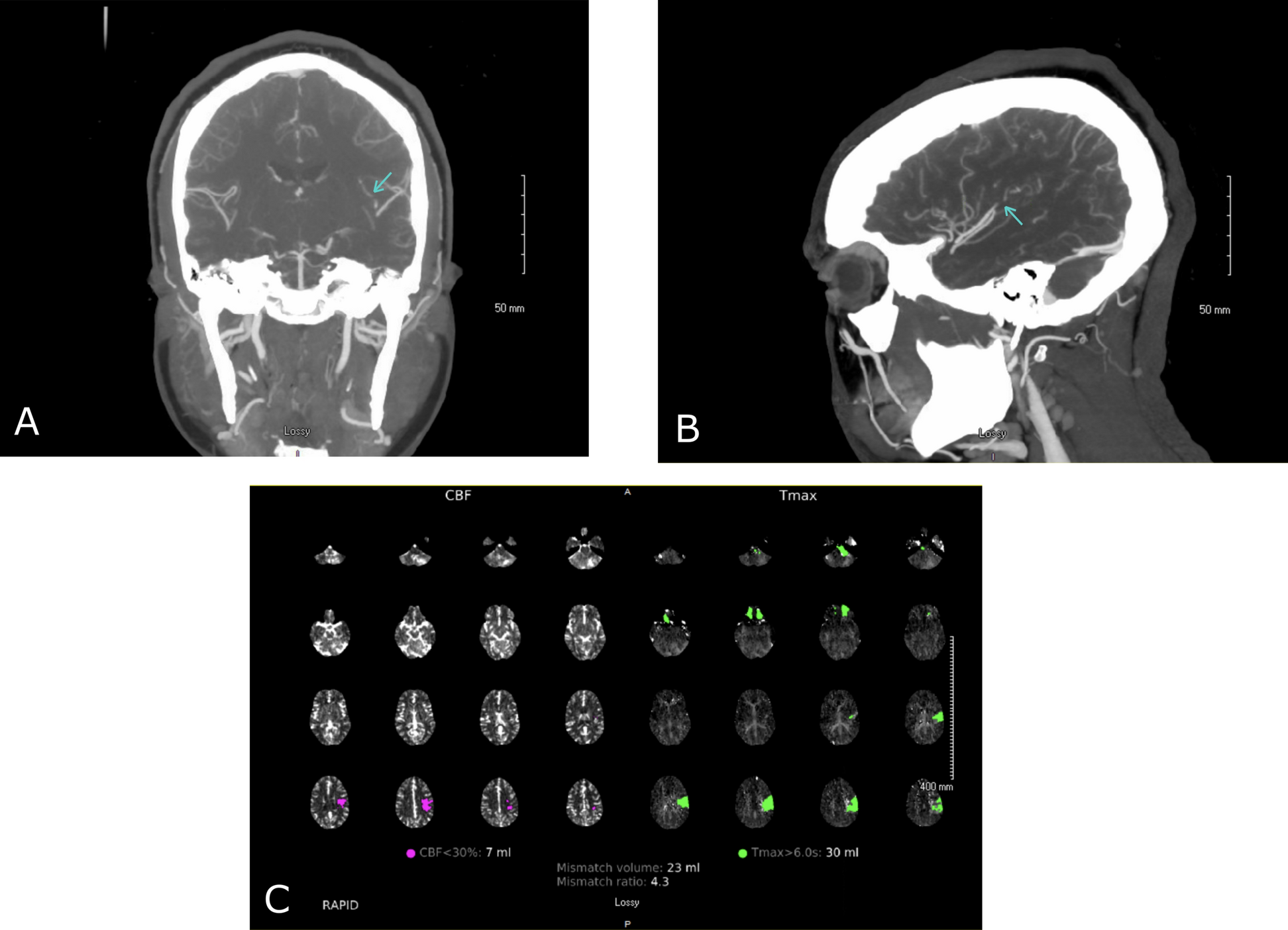
In our patient, the evidence of EBV-positive lymphoid proliferation raised the question of a potential association between viral infections and AIS, especially given the patient’s young age and absence of other major risk factors for ischemic…
Acute ischemic stroke in a young adult in association with Epstein–Barr virus infection: a case report | Journal of Medical Case Reports
