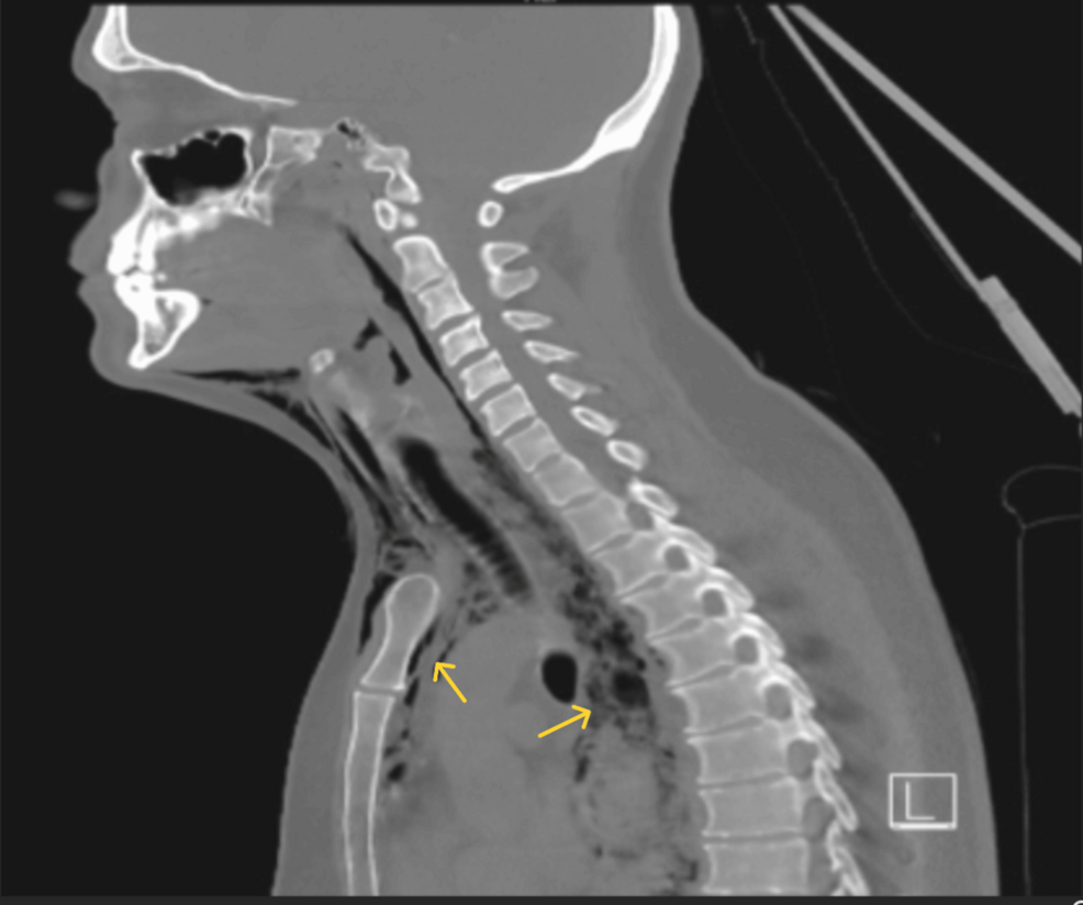
- A Case of Esophageal Perforation Secondary to Undiagnosed Eosinophilic Esophagitis Cureus
- Chance to Diagnose EoE in the ED Commonly Missed Medscape
- Reducing Diagnostic Delays and Improving Follow-Up Care for EoE, With Rosa Yu, MD HCPLive
- Closing…
A Case of Esophageal Perforation Secondary to Undiagnosed Eosinophilic Esophagitis – Cureus
