- China foreign minister blasts Middle East war, urges US to manage ties Arab News
- ‘No popular support’: China warns against government change in Iran Al Jazeera
- China warns ‘flames of war’ spreading and calls on US to help manage…
Author: admin
-
China foreign minister blasts Middle East war, urges US to manage ties – Arab News
-

Devils down Giants on Saturday night
First Period
The visitors could not have wished for a better start when, after just 85 seconds, Ryan Barrow forced the puck home after Brett Ferguson got it in front of the net (0-1). This stung the hosts into life and they had a chance…
Continue Reading
-

The making of Fargo at 30: ‘Man, you don’t give me this role, I’m gonna shoot your dog’ | Fargo
William H Macy was originally slated for the modest role of a detective in Fargo. Then the film’s directors, Joel and Ethan Coen, asked if he would like to read for the lead part of Jerry Lundegaard. “I said: ‘Boy, do I!’,” recalls…
Continue Reading
-

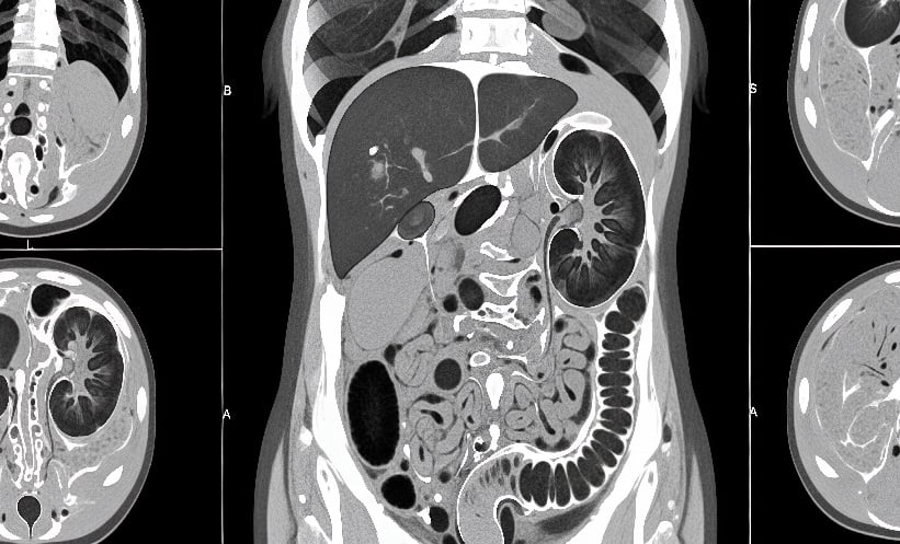
Rising CT Scans in Elderly Raise Radiation Questions – EMJ
Gradual Rise in CT Scans Among Older Adults
AT A SINGLE quaternary-care academic hospital, the proportion of computerised tomography (CT) scans performed on patients aged 60–90 increased from 50.4% in 2014 to 58.3% in 2024. This trend raises…
Continue Reading
-

Is last week’s dip in the Rolls-Royce share price a brilliant buying opportunity?
Image source: Getty Images The rocketing Rolls-Royce (LSE: RR) share price has created a painful problem for many investors. When a FTSE 100 stock flies it’s wonderful for those who hold it but frustrating for those who don’t. And this one really hurts. Rolls-Royce shares are up more than 1,000% in five years.
The temptation is obvious: jump on board. The worry is that investors do so as the rally runs out of fuel. That’s the nightmare scenario. Not only have they missed the spectacular gains, they could end up in the red. So what to do?
Timing stocks like this one is almost impossible. I’ve struggled myself. I spotted the moment of maximum opportunity and bought its shares in September 2022, then banked my profit too early when I needed some cash. Later, I took advantage of another dip and invested again. I got lucky. I’m sitting on a 200% gain.
Overall, I’m happy. But I’d be happier if I’d simply stuck to The Motley Fool‘s classic strategy of buying great companies for the long term and holding them through thick and thin, unless the underlying investment case changes.
Lesson learned. I’m holding now. Investors who haven’t taken a position, and had perhaps given up on Rolls-Royce, may be having a rethink after the shares dipped just over 5% last week, triggered by events in Iran. The FTSE 100 fell 5.74% over the same period, so Rolls-Royce has broadly moved with the market.
However, one key number has changed. Recently, whenever I’ve written about Rolls-Royce, I’ve warned readers about its sky-high valuation. Last month, the price-to-earnings (P/E) ratio hit a dizzying 65. Investors were clearly pricing in huge future growth.
So far, CEO Tufan Erginbilgic has done a magnificent job of justifying that optimism. Last July, he upgraded the group’s 2025 targets to underlying operating profit of £3.1bn–£3.2bn. That seemed ambitious at the time. But when full-year results landed on 26 February, Rolls smashed it. Full-year profit jumped 28.8% to £3.46bn.
Erginbilgic is setting the bar even higher for 2026 and beyond. It’s been hard to bet against him. But if Rolls does fall short, many investors will be off. They won’t even say thank you for all the growth.
The recent dip has at least eased the valuation, with the P/E falling to around 43. That’s still expensive, but it’s less extreme than before.
Rolls-Royce’s defence arm could benefit from the current geopolitical turmoil, sadly for the world. However, the bulk of its profits still come from civil aviation engines and the accompanying long-term maintenance contracts, which are linked to flight hours. If Middle Eastern airspace is closed for some time, that could dent revenues. The recent 5% pullback offers a slightly cheaper entry point, but there are new risks too
Continue Reading
-

Scientists just found an unknown force that helps the brain wire itself
For a long time, scientists have known that cells don’t just wander as tissues grow. They follow invisible “chemical maps.” These maps are made of signalling molecules that spread out in gradients, like the smell of food drifting through a…
Continue Reading
-

Long Beach State Finishes Season With Road Win At Hawai’i
HONOLULU, Hawaii – With four minutes to play in the game, Gavin Sykes hit three straight 3-pointers to extend a four-point lead to 13, a phenomenal stretch that helped seal a final win of the season for Long Beach State against Hawai’i on the…Continue Reading
-
President, PM vow to ensure conducive environment for women’s empowerment – Business Recorder
- President, PM vow to ensure conducive environment for women’s empowerment Business Recorder
- National leaders express commitment to protecting women’s rights Dawn
- Let girls fly Geo News
- Who is the women’s day for? The Express Tribune
- CJP…
Continue Reading
-

Why Rockstar Removed Hidden PlayStation Store Codes After Fans Faked ‘Recently Played’ Status on Profiles
38
Rockstar Games has taken swift action after fans discovered a loophole that allowed them to make Grand Theft Auto 6 (GTA 6) appear on their gaming profiles even though the highly anticipated game has not been released yet. The…
Continue Reading
-

International Women’s Day: Women driving Porsche forward
At a glance
- Porsche is firmly committed to equal opportunities and a corporate culture in which diversity is recognised and strategically embedded as a key driver of success.
- Here is just a small selection of the powerful women helping to shape Porsche today – and inspiring generations of women to come.
- 8 March is the International Women’s Day.
Right across Porsche – from engineering and IT to marketing and motorsports – women are informing the future of the sports car manufacturer on many different levels. Whether they are leading global teams and redefining customer experiences or developing next-generation interiors and digital ecosystems, their impact spans the entire company and is felt by every customer who gets behind the wheel.
International Women’s Day is not about marking a single day in the calendar; at Porsche, it’s about recognising talent, passion and expertise 365 days of the year. The sports car manufacturer is firmly committed to equal opportunities and to a corporate culture in which diversity – particularly gender equality – is recognised and strategically embedded as a key driver of success. A diverse working environment strengthens the company’s innovative capacity, performance, and long-term viability.
This is just a small selection of the powerful women helping to shape Porsche today – and inspiring generations of women to come.
Maren Springmann: from minority to CIO
As CIO of Porsche, Maren Springmann oversees the digital backbone of one of the world’s most iconic sports car brands – along with a team of about 700 people. From vehicle development systems to sales platforms, cybersecurity and AI, her remit is vast. But while she now leads the many, she was once one of the few.
“When I began studying computer science, I was one of maybe three women in a lecture hall of 200 male students,” she says. It never held her back – but it was the first time she became aware of perhaps being in a minority.
Throughout her career across multiple automotive brands and international markets, the mother of two has never personally faced discrimination, but she has witnessed it elsewhere. “I have seen more qualified women who wouldn’t have been hired if I hadn’t been involved,” she says. “That’s something I fight strongly against. It’s why diversity is so important – to prevent it from happening in the first place.”
Mentoring has become a natural extension of that belief. “I always thought I needed to adapt, to be more ‘masculine’ to fit in,” she reflects. “But it’s not true. You don’t need to fit in. It’s better to be unique.” Today, she encourages other women in tech to see emotional intelligence as a real force.
Much of that confidence traces back to her mother. “Growing up, she never focused on stereotypes,” she says. “Whatever I wanted to do, she supported.”
Anna Zahlava: leading the charge

Before she joined Porsche, Anna Zahlava (formerly Žaja) was among the world’s best tennis players, competing in every WTA Grand Slam and numerous times at the Porsche Tennis Grand Prix in Stuttgart – where the idea of a career beyond sport first took shape.
Today, recently returned from maternity leave, she brings a new perspective to her work – shaped by life with a young son and the focus and discipline that saw her rank 145 in the world for women’s doubles and 184 in singles. Both roles, she says, have strengthened her patience, resilience and ability to reset under pressure.
Now a product owner for the My Porsche app, Zahlava leads the integration of charging solutions. Working at this intersection of digital innovation and everyday usability, she connects developers, designers and managers, turning complex systems into intuitive customer experiences. In meetings, she is often one of the few women present, reflecting the still male‑dominated nature of the tech and IT landscape. “But I’ve never felt held back,” she says. “If anything, I feel recognised for what I bring.
“Tennis taught me that momentum can change quickly. You learn to refocus and move forward,” she adds. It’s a mindset she brings to one of Porsche’s fastest-evolving areas – staying agile and ready for the next serve.
Samantha Balzano: the engineering force

“Growing up, I remember seeing a Porsche on the road and instinctively turning my head,” says Samantha Balzano. The manager of interior body engineering joined Porsche 28 years ago, “at a time when very few women worked in production”.
But it never occurred to Balzano that her gender might in any way hold her back – not when she was a child, enraptured by the tools, sounds and smells in her grandfather’s “magical” garage, or during her impressive engineering career.
“I’ve always been supported by colleagues who value competence and dedication over stereotypes. I’ve only ever experienced a strong culture of respect, collaboration and a genuine interest in diverse viewpoints,” says Balzano, who was the first woman ever appointed as a team leader in Porsche’s production department. “The more diverse our teams become, the more we all benefit – and I’m proud to contribute to that evolution.”
Her passion for cars undoubtedly began with her grandfather – a technician who raced motorcycles. “I loved everything about that technical environment,” she says. Today, that early spark is both her profession and passion: Balzano’s team develops everything from luggage compartments to carpets and acoustics – always with the customer in mind. “In this industry, there’s no room for weakness. You have to be at the top of your game.”
She still turns her head for a 911 – especially a GTS. “I’m addicted to that car,” she laughs. And when she sees a new Porsche on the road, knowing she helped bring it to life, that childhood magic is still there.
Ayesha Coker: the legacy builder

At Porsche Cars North America, Ayesha Coker doesn’t simply market the brand – she shapes how it is experienced. As Vice President of Marketing, she leads customer relationship management, marketing communications, dealer marketing, the Porsche Track Experience, Porsche Experience Centers in Atlanta and LA, and national experiential and motorsport initiatives – ensuring that every customer touchpoint reflects the performance and emotion that define Porsche.
Coker began her career in 2010 in an entry-level events role and, over the next 12 years, steadily rose through the organisation’s leadership ranks. In 2022, she joined the Executive Committee, becoming the first African American woman in the company’s history to do so – a milestone that resonated deeply with her family, colleagues and the broader community she represents.
“I was shaped by the women in my family. They balanced careers, households and community responsibilities without ever lowering their standards. They didn’t talk much about resilience – they modelled it,” she says. “From a young age, I understood that excellence wasn’t optional – it was expected.”
That conviction continues to guide her leadership. For Coker, meaningful progress comes from intentionally elevating diverse perspectives and creating space for people to contribute at their highest level. “Innovation doesn’t happen in isolation,” she says. “It’s driven by curiosity, the courage to think differently and the teams we choose to believe in and develop.”
While she recognises the significance of being a ‘first’, her focus is on the legacy she’s building – one where cultural insight and strategic rigour are opening doors for the next generation.
Carolina Maag: the human owner’s manual

Every person who sits in a new Cayenne or Macan experiences Carolina Maag’s work firsthand. But when she joined Porsche as an events intern in 2019, she wasn’t even sure she’d be hired. “I remember thinking ‘It’s such a big company – they’ll never take me,’” she smiles. Seven years on, Maag is an overall HMI project leader, responsible for everything drivers see and touch on the screens inside the vehicle – from instrument cluster to central display.
Her path, she says, “was not a straight line. It was constant change and development.” Moving into complex software projects required technical growth and confidence. Everything she works on must feel intuitive and immersive – whether it’s 3D visualisations of an owner’s car brought to life on screen or widgets that give them direct and distraction-free access to their favourite apps.
Working in what she describes as a still male-dominated environment, she has found her strength in communication, coordinating input from more than 100 colleagues. “My biggest skill is being a translator – bringing different personalities and hierarchies together to deliver the best product for the customer.”
Maag credits her parents for shaping that leadership style: her emotional intelligence comes from her mother, her sharp business focus from her father. At home, that same combination has earned her a nickname: her husband proudly calls her the ‘human owner’s manual’ – the person who can explain not just how things work, but why.
Nina Braack: from aces to sim races

Elite sport has always been Nina Braack’s focus. For 10 years she played professional volleyball in Germany’s first and second Bundesliga, while completing a master’s degree in corporate communications. That combination of athletic drive and strategic thinking defined her long before she joined Porsche in 2022.
Today, as Manager of Esports at Porsche Motorsport, Braack leads the Porsche Coanda Esports Racing Team – a factory team competing at the highest level of sim racing. For her, esports is far more than ‘just gaming’; it is a credible motorsport discipline that connects Porsche with a tech-savvy global audience and complements the brand’s rich racing heritage.
Although the industry remains largely male-dominated, gender is not something she dwells on. “In a competition, you have to be the best version of yourself. It doesn’t matter who you’re playing with or who you’re up against – and it’s the same in my role today.” Often one of only two women at international events, she sees no barrier. “Commitment is what counts,” she says. Indeed esports is widely praised for broadening access to motorsport, opening doors for those who might not otherwise see a place for themselves.
Braack’s advice to young women is simple: “Say yes. Take the opportunities that come your way. You can adjust direction later if something isn’t right – but first, you have to put yourself out there.”
Continue Reading