LONDON, Jan. 09, 2026 (GLOBE NEWSWIRE) — NordPass, a leading password manager, simplifies secure logins by including Authenticator on multiple devices in the application for personal use. The time-based one-time password…
Category: 8. Tech
-

BMW M GmbH marks 14th consecutive record year.
Munich. BMW M GmbH once again achieved outstanding
sales growth in 2025. For no less than the 14th time in a row, the
manufacturer of high-performance and performance vehicles reported
record sales. And for the 7th time…Continue Reading
-

Gmail’s new AI features, turning it into a personal assistant
More artificial intelligence is being implanted into Gmail as Google tries to turn the world’s most popular email service into a personal assistant that can improve writing, summarize far-flung information buried in inboxes and deliver daily…
Continue Reading
-

Large-scale testing of antimicrobial lethality at single-cell resolution predicts mycobacterial infection outcomes
Sample collection
We used the Mycobacterium abscessus laboratory strain ATCC-19977, the avirulent Mycobacterium tuberculosis strain H37Ra and the auxotrophic M. tuberculosis strain mc27000 (H37Rv ΔpanCD ΔRD1)68. Clinical M. abscessus isolates…
Continue Reading
-

Inside Lenovo’s Keynote at This Year’s CES
Yes, The Backstreet Boys and Jennifer Lopez are performing on the Las Vegas Strip, but Lenovo chairman and CEO Yuanqing Yang was the must-see act on Tuesday night.
Following in the digital footsteps of Delta Air Lines, which delivered…
Continue Reading
-

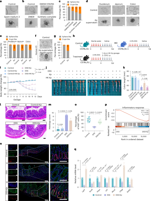
Fungal commensal promotes intestinal repair via its secreted peptide in mice
Barker, N. Adult intestinal stem cells: critical drivers of epithelial homeostasis and regeneration. Nat. Rev. Mol. Cell Biol. 15, 19–33 (2014).
Google Scholar
van der Flier, L….
Continue Reading
-

Burtran Nano-Oxy Smart Air Purifier: Safe Sleep?
I’m happy to report that Burtran’s claim was correct—its operation did not result in a spike of radioactivity. My entire apartment was measuring around 20 clicks per minute, or CPM—for context, 5-50 CPM is normal background. It’s when the…
Continue Reading
-

Binary Puzzle Number 91
Unlock the Editor’s Digest for free
Roula Khalaf, Editor of the FT, selects her favourite stories in this weekly newsletter.
Download puzzle
FT.com will bring you the crossword from Monday to Saturday as well as the Weekend FT Polymath, Word…
Continue Reading
-

Word Circle Number 91
Unlock the Editor’s Digest for free
Roula Khalaf, Editor of the FT, selects her favourite stories in this weekly newsletter.
Download puzzle
FT.com will bring you the crossword from Monday to Saturday as well as the Weekend FT Polymath, Word…
Continue Reading
-

Game over for old consoles as Christmas gift gaming boom sends abandoned total to 49 million
- Virgin Media O2 data reveals approximately 49 million gaming consoles are now stashed in cupboards and drawers across the UK – worth a combined total of £4.14 billion.*
- The surge follows a Christmas gaming gift boom, with…
Continue Reading
