If you watched a bunch of animals living in identical conditions, you’d expect them to age in roughly similar ways.
But in a new study from Stanford, short-lived fish with similar genetics still aged very differently – and the weird part is…

If you watched a bunch of animals living in identical conditions, you’d expect them to age in roughly similar ways.
But in a new study from Stanford, short-lived fish with similar genetics still aged very differently – and the weird part is…

Tuesday, April 21, 2026
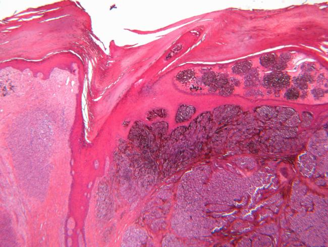
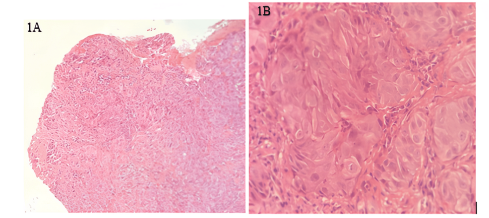
Study links specific cell populations to patient risk in melanoma and liver cancer.
In a National Institutes of Health (NIH)-funded study, researchers…

Weight loss drugs continue to play out in the global market, with forecasts estimated at a value of US$200 billion by 2030.
Leading the rise are oral GLP-1 drugs, with new obesity pills projected to push the GLP-1 market into its next chapter in…
ADEN, Yemen, April 21 (Xinhua) — The Yemeni government on Tuesday activated the national Health Emergency Committee amid a spreading measles outbreak that has killed dozens of children and infected thousands since the beginning of 2026.
…

An artificial intelligence (AI) model using DNA methylation patterns was able to classify tumors of unknown origin with high accuracy, according to the results of a study presented at the American Association for Cancer Research (AACR)…

HIGHER alcohol consumption is associated with increased risk of small airways obstruction, even before major lung disease develops.
Emerging evidence suggests that alcohol consumption may…